
El tratamiento para lograr una sonrisa alineada no tiene por qué ser caro ni incómodo. Anímate a dar el primer paso y sonríe con orgullo.
Plan de ayuda para FONASA
Ubicados en Gran Avenida N° 9271, La Cisterna
Controles desde los $30.000
Ortodoncistas de la U. de Chile
Centro Radiológico HD
Pago hasta 12 cuotas sin interés



Comenzar un tratamiento de ortodoncia no solo mejora la apariencia de tu sonrisa, sino que también aumenta tu confianza y autoestima.
Además, contribuye a la salud bucal, mejorando la condición de tus dientes y reduciendo el riesgo de problemas futuros.
Ortodoncista dedicado en todo el tratamiento.
Aprobación de un periodoncista
Todas las especialidades que necesitas en un solo lugar
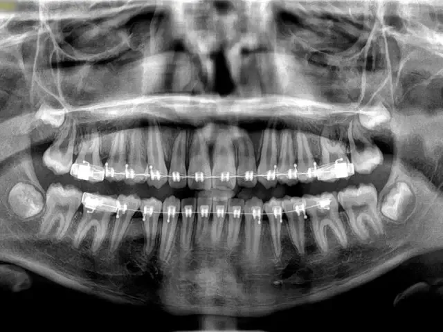
Equipos de radiografías y Scanner 3D









Es gratuita Conoceremos la salud dental y si están las condiciones de comenzar un tratamiento de ortodoncia.

Debemos evaluar a fondo tus dientes y la posición de tus maxilares respecto a tu cráneo. Lo realizas en nuestra Clínica y es por orden de llegada.

Realizaremos un periodontograma
para revisar la salud de las encías. Esto es clave para permitir el movimiento de las piezas dentales mal posicionadas.

El Ortodoncista revisará tus radiografías y te dirá que tipo de tratamiento debes seguir. Él
planificará el movimiento de tus piezas dentales.

El Ortodoncista y su asistente colocarán tus Brackets Dentales de acuerdo a lo planificado.

El movimiento de los dientes debe ser programado y controlado. Cada mes se aborda de manera diferente el tratamiento.
No fue fácil para ella, pero su esfuerzo está logrando una sonrisa totalmente distinta a lo que le esperaba en su vida.
Escucha el testimonio de Ema y de su madre y conoce como es el proceso de cambio de un paciente de ortodoncia. En este testimonio se puede apreciar la importancia que toma la autoestima en un niño que tiene problemas de alineación de sus dientes.
A mi hija le cambiaron la vida, la autoestima cambia totalmente. Ahora se ríe sin taparse la boca.
Me encanta la atención, no te ponen mala cara, si hay que cambiar una hora ningún problema.









+20 Dentistas Generales y de especialidades
2 Sucursales cercanas con salas de espera climatizadas
Técnicos Dentales Registrados en la Superintendencia de Salud
Sala Imagenología Digital Rxs Panorámicas, Escáner, Teleradiografías, bite wing, periapicales
Cercana a servicios Ubicados en plena Gran Avenida N° 9271
18 Box de Atención independientes
Scanner intraoral de última generación Digitalización de procesos clínicos




Para pacientes FONASA, el precio será rebajado dependiendo de su nivel de cobertura.

Nuestros tratamientos tienen una duración promedio de 18 a 24 meses. Es el tiempo necesario para lograr corregir y consolidar una sonrisa. Demorar menos, es arriesgar que los resultados se reviertan de cierta manera.Existen casos complejos que pueden alargar el tratamiento. La prioridad de nuestros profesionales es consolidar la sonrisa de manera permanente.
No instalamos ese tipo de aparatos. Su costo es más alto de lo normal y hemos recibido pacientes que llegan decepcionados de esos resultados.Una opción estética que realizamos en la Clínica Dental Amanda, son los aparatos de «Zafiro».
Estamos en plena Gran Avenida Jose Miguel Carrera N°9271, paradero 27, comuna de La Cisterna. Muy cerca del metro .
Al ser una clínica dental privada, no atendemos a pacientes con «Bonos» FONASA e ISAPRE
Los aparatos «transparentes» o translúcidos son los llamados brackets de zafiro. Estos son aparatos que son los más estéticos e imperceptibles.
Nuestros tratamientos tienen a posibilidad de ser de los colores que desees. Los colores se lo dan las “ligaduras” que se realizan a los aparatos.


